Baby Born Pregnant: Girl Born With Twin Fetuses

A baby has been born pregnant, according to researchers who have released their findings from a 2010 medical case.
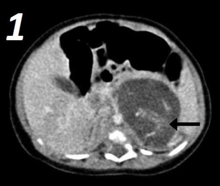
According to the researchers, a baby girl who was born in 2010 was thought to have had two tumors in her abdomen. However, after extensive research is has been found that she actually had twin fetuses.
The fetuses are believed to have ranged from 8 to 10 weeks old in side of her, according to the researchers, and weighed approximately half an ounce and a third of an ounce.
The report confirms that all organs were connected through an umbilical cord to a single placenta-like mass.
A local doctor has explained to South China Morning Post: "Since it is impossible for the little girl to have conceived the pregnancy on her own, the fertilization of the twin fetuses, of course, belongs to her parents, which has gone to the wrong place."
The condition of a baby being born pregnant is called "fetus in fetu" and according to medical reports, occurs in approximately one in 500,000 births globally.












